ChanelMuslim.com – Menurut sebuah studi terbaru menyatakan bahwa kerusakan otak yang disebabkan oleh COVID-19 mirip dengan yang disebabkan oleh stroke.
Baca juga: Mengenal Parechovirus, Virus Penyebab Kerusakan Otak Bayi
Penelitian yang dipublikasikan di Nature Neuroscience pada hari Kamis menggambarkan bagaimana COVID-19 dapat menyebabkan kerusakan dengan mengganggu aliran darah di otak.
Efek pada pembuluh darah di otak “sesuai dengan penyakit pembuluh darah kecil otak”, istilah umum untuk penyakit otak termasuk stroke, kata studi tersebut.
Makalah yang ditulis oleh para ilmuwan di Jerman mengatakan bahwa hingga 76 persen pasien COVID-19 dapat menderita gangguan kognitif dan gejala kejiwaan lainnya lebih dari empat minggu setelah infeksi.
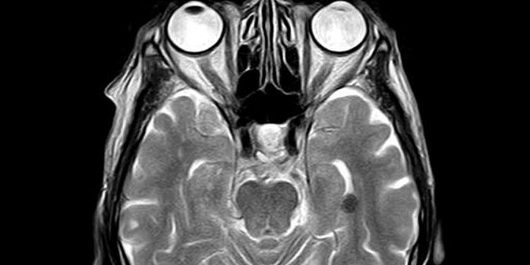
Pemindaian otak Magnetic Resonance Imaging (MRI) mengungkapkan bahwa orang dengan infeksi COVID-19 yang parah memiliki lebih banyak ‘pembuluh tali’ yang tidak dapat dilalui darah, menurut penelitian berjudul ‘The SARS-CoV-2 main protease Mpro cause microvascular brain pathology yang membelah NEMO di sel endotel otak.
Pembuluh tali mewakili jaringan sisa setelah sel mati di pembuluh darah, sehingga darah tidak mungkin melewatinya.
COVID-19 juga dapat secara langsung menyebabkan stroke, kata penelitian tersebut.
Hingga 84 persen orang dengan COVID-19 parah menunjukkan gejala neurologis termasuk kehilangan penciuman, serangan epilepsi, stroke, kehilangan kesadaran, dan kebingungan.
Terlepas dari bukti COVID-19 menyebabkan kerusakan otak, para peneliti mengatakan bahwa masih menjadi bahan perdebatan apakah virus menginfeksi otak secara langsung atau tidak.
Karena itu, penulis penelitian mendeteksi materi genetik COVID-19 dalam bentuk genom virus di otak dan cairan tulang belakang pasien, menunjukkan bahwa virus COVID-19 dapat mengakses otak.
Bahan RNA COVID-19 ditemukan di pembuluh darah di otak, menunjukkan bahwa virus dapat menyebar dari sistem pernapasan ke otak melalui aliran darah pasien.
Studi ini juga mengidentifikasi jenis protein yang disebut receptor-interacting protein kinase (RIPK) sebagai target potensial untuk pengobatan terapeutik efek neurologis COVID-19.[ah/alarabiya]





