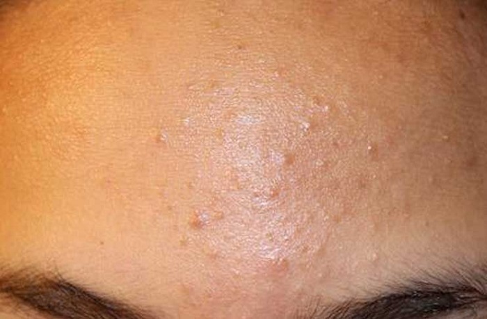
JERAWAT di dahi terkadang muncul tiba-tiba dan berulang. Mulai dari beruntusan kecil, komedo, hingga jerawat meradang yang terasa nyeri, area dahi menjadi salah satu lokasi wajah yang paling sering mengalami breakout.
Kondisi ini bukan tanpa sebab. Produksi minyak yang lebih tinggi, pengaruh hormon, stres, hingga kebiasaan sehari-hari membuat dahi menjadi area yang rentan mengalami penyumbatan pori-pori.
Seperti jerawat di area wajah lain, jerawat di dahi terjadi ketika pori-pori tersumbat oleh minyak, sel kulit mati, dan bakteri, yang kemudian memicu peradangan. Faktor hormon dan genetik berperan besar dalam kondisi ini.
Fluktuasi hormon dapat memicu kelenjar minyak bekerja lebih aktif, bahkan pada orang yang tidak sedang mengalami pubertas atau siklus menstruasi. Selain itu, faktor internal seperti kurang tidur, stres, dan pola makan juga dapat meningkatkan peradangan dan produksi minyak di kulit.
Faktor lain yang sering tidak disadari adalah penggunaan produk rambut. Minyak alami dari kulit kepala, keringat, serta residu produk rambut dapat berpindah ke area dahi dan menyumbat pori-pori.
Baca juga: Retinol bisa Atasi Jerawat, Kulit Kusam hingga Tampilan Pori
Ketahui Penyebab Jerawat di Dahi yang Bergerombol
Kebiasaan memakai topi, helm, atau ikat kepala, serta jarang membersihkan area garis rambut juga dapat mempengaruhi minyak dan bakteri di kulit.
Jerawat di dahi tidak selalu memiliki bentuk yang sama. Seseorang bisa mengalami lebih dari satu jenis jerawat sekaligus.
Jenis jerawat yang umum muncul di dahi meliputi komedo hitam dan putih kecil, jerawat papula berupa bintik kecil kemerahan, jerawat pustula dengan ujung berisi nanah, serta jerawat nodul yang terasa nyeri dan berada di bawah kulit.
Selain itu, jerawat jamur atau jerawat jamur juga sering muncul di dahi. Kondisi ini bukan jerawat biasa, melainkan pertumbuhan jamur yang menyerupai seragam kecil.
Penanganan jerawat di dahi perlu disesuaikan dengan jenis jerawatnya. Disarankan penggunaan bahan aktif tertentu sesuai kondisi kulit.
Follow Official WhatsApp Channel chanelmuslim.com untuk mendapatkan berita-berita terkini dengan mengklik tautan ini.
Asam salisilat efektif untuk komedo, benzoyl peroxide untuk jerawat meradang, serta retinoid untuk membantu mencegah penyumbatan pori di kemudian hari.
Jika jerawat disebabkan oleh jamur, penggunaan pembersih wajah dengan kandungan antijamur dinilai lebih efektif dibandingkan obat jerawat biasa.
Selain pengobatan, pencegahan juga penting untuk mencegah jerawat datang kembali. Membersihkan wajah hingga ke garis rambut, mencuci wajah setelah keramas, serta rutin mengganti sarung bantal menjadi langkah sederhana yang dapat membantu.
Apabila jerawat di dahi tidak kunjung membaik atau makin parah, konsultasi dengan dokter kulit diperlukan untuk menentukan penyebab dan penanganan yang tepat.
Jerawat di jidat memang umum terjadi dan bisa dipicu oleh stres, tetapi dengan perawatan yang konsisten dan kebiasaan yang lebih sadar, kondisi ini dapat dikendalikan. [Din]





